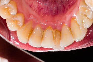
Calcium deposits on teeth, also known as dental calculus or tartar, are hardened deposits that form on the surface of teeth due to the mineralization of plaque. Plaque is a sticky, colorless film of bacteria that constantly forms on teeth, and when it is not removed regularly, it can lead to the formation of calculus. The primary component of dental calculus is calcium phosphate, which is a mineral that is found in tooth enamel. However, when it forms on the surface of teeth, it can cause a range of problems, including bad breath, gum disease, and tooth decay.
The formation of calcium deposits on teeth is a complex process that involves the interaction of several factors, including oral hygiene, diet, and genetics. When plaque is not removed regularly, it can start to mineralize, forming a hard, crusty deposit on the surface of teeth. This deposit can be yellow, brown, or black in color, and it can be found above or below the gum line. The presence of calcium deposits on teeth can be a sign of poor oral hygiene, and it can also be an indication of underlying health problems, such as gum disease or diabetes.
Key Points
- Calcium deposits on teeth are hardened deposits that form on the surface of teeth due to the mineralization of plaque.
- The primary component of dental calculus is calcium phosphate, which is a mineral that is found in tooth enamel.
- The formation of calcium deposits on teeth is a complex process that involves the interaction of several factors, including oral hygiene, diet, and genetics.
- The presence of calcium deposits on teeth can be a sign of poor oral hygiene, and it can also be an indication of underlying health problems, such as gum disease or diabetes.
- Regular dental cleanings and good oral hygiene practices can help to prevent the formation of calcium deposits on teeth.
Causes and Risk Factors

The causes and risk factors for calcium deposits on teeth are complex and multifaceted. Poor oral hygiene is one of the primary risk factors, as it allows plaque to build up on teeth and mineralize, forming calculus. A diet high in sugar and acid can also contribute to the formation of calcium deposits, as can genetics and certain medical conditions, such as diabetes and gum disease. Additionally, the use of certain medications, such as antihistamines and decongestants, can increase the risk of calcium deposits on teeth by reducing saliva flow and altering the oral environment.
Prevention and Treatment
Preventing and treating calcium deposits on teeth requires a combination of good oral hygiene practices and regular dental cleanings. Brushing teeth at least twice a day with a fluoride toothpaste and flossing once a day can help to remove plaque and prevent the formation of calculus. Regular dental cleanings can also help to remove any calculus that has formed, and can help to prevent the progression of gum disease. In some cases, a dentist may recommend a deep cleaning, which involves removing calculus from below the gum line, or a scaling and root planing, which involves removing calculus and smoothing out the roots of teeth to prevent further buildup.
| Prevention Method | Efficacy |
|---|---|
| Regular brushing and flossing | High |
| Regular dental cleanings | High |
| Deep cleanings | Moderate to High |
| Scaling and root planing | Moderate to High |

Complications and Consequences

The complications and consequences of calcium deposits on teeth can be significant, and can include bad breath, gum disease, and tooth decay. When calculus forms below the gum line, it can cause the gums to become inflamed and irritated, leading to gum disease. If left untreated, gum disease can lead to the loss of teeth and other serious health problems. Additionally, the presence of calcium deposits on teeth can also increase the risk of tooth decay, as the bacteria that form plaque can also produce acid that can damage tooth enamel.
Diagnosis and Detection
Diagnosing and detecting calcium deposits on teeth typically involves a visual examination of the teeth and gums, as well as a review of the patient’s medical and dental history. A dentist may use a variety of tools, including a mirror and a probe, to examine the teeth and gums, and may also take X-rays to look for any signs of calculus or gum disease. In some cases, a dentist may also use a special tool called a periodontal probe to measure the depth of the pockets between the teeth and gums, and to check for any signs of bleeding or inflammation.
What are the primary causes of calcium deposits on teeth?
+The primary causes of calcium deposits on teeth include poor oral hygiene, a diet high in sugar and acid, genetics, and certain medical conditions, such as diabetes and gum disease.
How can I prevent calcium deposits on teeth?
+Preventing calcium deposits on teeth requires a combination of good oral hygiene practices, including brushing teeth at least twice a day with a fluoride toothpaste and flossing once a day, and regular dental cleanings.
What are the complications and consequences of calcium deposits on teeth?
+The complications and consequences of calcium deposits on teeth can include bad breath, gum disease, and tooth decay, and can also increase the risk of tooth loss and other serious health problems.
Meta description suggestion: “Learn about the causes, prevention, and treatment of calcium deposits on teeth, and how to maintain good oral hygiene to prevent the formation of calculus and gum disease.”